
Pilon Tipi Tibia Distal Domen Sendromu: Sık Olmayan Diz ve Ayak Arası Eklem Bozuklukları
Giriş
Pilon Tipi Tibia Distal Domen Sendromu: Sık Olmayan Diz ve Ayak Arası Eklem Bozuklukları, ortopedi alanında nadir karşılaşılan ancak ciddi sonuçlara yol açabilen bir durumdur. Bu sendrom, tibia kemiğinin distal ucunda, yani ayak bileğine yakın bölgesinde meydana gelen kırıklar ve eklem bozukluklarıyla ilişkilidir. Genellikle yüksek enerjili travmalar sonucu ortaya çıkan bu rahatsızlık, hem diz hem de ayak bileği eklemlerini etkileyebilir. Bu makalede, Doç. Dr. Ramadan ÖZMANEVRA’nın uzman görüşleriyle, bu nadir sendromun nedenlerini, belirtilerini ve tedavi yöntemlerini detaylı bir şekilde ele alacağız. Amacımız, bu konuda bilgi arayan okuyuculara kapsamlı ve güvenilir bir rehber sunmaktır.
Pilon Tipi Tibia Distal Domen Sendromu Nedir?
Pilon Tipi Tibia Distal Domen Sendromu, tibia kemiğinin alt ucunda, ayak bileği eklemiyle bağlantılı bölgede oluşan karmaşık kırıklar ve eklem hasarlarını tanımlayan bir terimdir. "Pilon" terimi, Fransızca’da "havaneli" anlamına gelir ve bu kırıkların eklem yüzeyini ezerek oluşturduğu hasarı ifade eder. Bu durum, genellikle yüksekten düşme, trafik kazaları veya spor yaralanmaları gibi yüksek enerjili travmalar sonucu meydana gelir. Sendrom, yalnızca kemiği değil, aynı zamanda çevresindeki yumuşak dokuları ve bağları da etkileyebilir, bu da tedavi sürecini daha karmaşık hale getirir. Bu tür yaralanmalar, hastaların günlük yaşam kalitesini ciddi şekilde etkileyebilir ve uzun süreli rehabilitasyon gerektirebilir.
Bu Sendromun Nedenleri Nelerdir?
Pilon Tipi Tibia Distal Domen Sendromu’nun ortaya çıkmasında genellikle travmatik olaylar başrol oynar. Bu travmalar, kemiğin ve eklemin yapısını bozacak kadar şiddetli bir enerji transferiyle gerçekleşir. Aşağıda bu sendromun en yaygın nedenlerini sıralıyoruz:
- Yüksekten Düşme: Özellikle inşaat işçileri veya sporcular gibi yüksek riskli meslek gruplarında sık görülür.
- Trafik Kazaları: Motosiklet veya araba kazaları, bu tür kırıklara yol açabilir.
- Spor Yaralanmaları: Futbol, basketbol gibi temas sporlarında ani darbeler veya yanlış hareketler bu duruma neden olabilir.
- Doğrudan Darbe: Tibia kemiğine doğrudan gelen şiddetli bir darbe, eklem yüzeyinde hasara yol açabilir.
- Koruyucu Ekipman Kullanımı: Spor yaparken uygun ayakkabı ve koruyucu ekipmanlar kullanmak, yaralanma riskini azaltır.
- Güvenlik Kurallarına Uymak: İş yerlerinde güvenlik protokollerine bağlı kalmak, özellikle yüksekten düşme riskini minimize eder.
- Fiziksel Kondisyon: Kas ve kemik gücünü artıran düzenli egzersizler, travmalara karşı daha dirençli bir vücut sağlar.
- Dikkatli Hareket: Günlük yaşamda veya spor sırasında ani ve kontrolsüz hareketlerden kaçınılmalıdır.
Bu nedenler, genellikle genç ve aktif bireylerde daha sık görülse de, yaşlı bireylerde kemik yoğunluğunun azalmasıyla birlikte daha düşük enerjili travmalar bile benzer sonuçlara yol açabilir. Bu noktada, erken teşhis ve doğru müdahale büyük önem taşır.
Belirtiler ve Tanı Yöntemleri
Pilon Tipi Tibia Distal Domen Sendromu’nun belirtileri, genellikle travma sonrası hemen ortaya çıkar ve oldukça belirgindir. Hastalar, şiddetli ağrı, şişlik ve hareket kısıtlılığı gibi şikayetlerle doktora başvurur. Ayak bileği veya diz çevresinde deformasyon, morarma ve ciltte açık yaralar da gözlemlenebilir. Ayrıca, bazı durumlarda hastalar ağırlık verememe veya yürüyememe gibi ciddi fonksiyon kayıpları yaşayabilir.
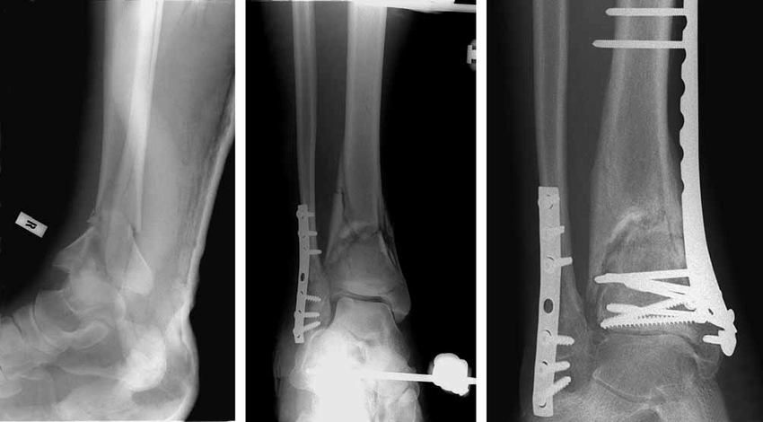
Tanı sürecinde, uzman bir ortopedi doktoru tarafından detaylı bir fiziksel muayene yapılır. Görüntüleme teknikleri, bu sendromun kesin tanısı için kritik bir rol oynar. Röntgen, Bilgisayarlı Tomografi (BT) ve bazen Manyetik Rezonans Görüntüleme (MR) gibi yöntemler, kırığın boyutunu, eklem hasarını ve yumuşak doku durumunu değerlendirmek için kullanılır. Doç. Dr. Ramadan ÖZMANEVRA, özellikle karmaşık durumlarda BT’nin, cerrahi planlama açısından vazgeçilmez olduğunu vurgulamaktadır. Erken ve doğru tanı, tedavi başarısını doğrudan etkileyen bir faktördür.
Tedavi Yöntemleri: Cerrahi ve Cerrahi Olmayan Yaklaşımlar
Pilon Tipi Tibia Distal Domen Sendromu’nun tedavisi, yaralanmanın şiddetine, hastanın genel sağlık durumuna ve yaşına bağlı olarak değişiklik gösterebilir. Tedavi genellikle iki ana kategoride incelenir: cerrahi ve cerrahi olmayan yöntemler.
Cerrahi Olmayan Yöntemler
Hafif kırıklar veya yumuşak doku hasarının minimal olduğu durumlarda, cerrahi dışı yöntemler tercih edilebilir. Bu yöntemler arasında alçı veya atelle immobilizasyon, istirahat ve fizik tedavi yer alır. Ancak, bu yaklaşım genellikle geçici bir çözüm olarak uygulanır ve eklem yüzeyinde ciddi bir hasar varsa yeterli olmayabilir.
Cerrahi Yöntemler
Çoğu Pilon Tipi Tibia Distal Domen Sendromu vakasında, cerrahi müdahale kaçınılmazdır. Cerrahi tedavi, kırık parçalarının anatomik olarak doğru bir şekilde yerleştirilmesini ve eklem yüzeyinin yeniden yapılandırılmasını içerir. Açık redüksiyon ve internal fiksasyon (ORIF), en sık kullanılan cerrahi yöntemdir. Bu yöntemde, kırık kemikler plaklar ve vidalarla sabitlenir. Ayrıca, ciddi yumuşak doku hasarı varsa, cerrahi öncesi bir süre eksternal fiksatör kullanımı gerekebilir. Doç. Dr. Ramadan ÖZMANEVRA, cerrahi sonrası rehabilitasyon sürecinin, tedavi başarısında en az cerrahi kadar önemli olduğunu belirtmektedir.
Rehabilitasyon ve İyileşme Süreci
Pilon Tipi Tibia Distal Domen Sendromu tedavisinden sonra, hastaların iyileşme süreci uzun ve sabır gerektiren bir dönem olabilir. Rehabilitasyon, cerrahi müdahaleden hemen sonra başlar ve genellikle birkaç aşamadan oluşur. İlk aşamada, şişlik ve ağrıyı azaltmak için istirahat ve elevasyon önerilir. Daha sonra, fizik tedaviyle kas gücünün geri kazandırılması ve eklem hareket açıklığının artırılması hedeflenir.
Hastaların çoğunda, tam iyileşme 6 ila 12 ay sürebilir. Bu süreçte, düzenli doktor kontrolleri ve fizyoterapist eşliğinde yapılan egzersizler büyük önem taşır. Ayrıca, hastaların ağırlık verme konusunda acele etmemesi ve doktor önerilerine uyması, komplikasyon riskini azaltır. Enfeksiyon, eklem sertliği ve kireçlenme gibi komplikasyonlar, bu tür yaralanmalarda sıkça karşılaşılan riskler arasındadır.
Önleme Yöntemleri: Riskleri Azaltmak Mümkün mü?
Her ne kadar Pilon Tipi Tibia Distal Domen Sendromu genellikle öngörülemeyen travmalar sonucu ortaya çıksa da, bazı önlemlerle riskler azaltılabilir. Özellikle yüksek riskli mesleklerde çalışanlar veya aktif sporcular için güvenlik önlemleri hayati önem taşır. İşte bu tür yaralanmaları önlemek için alınabilecek bazı önlemler:
Bu önlemler, tamamen koruma sağlamasa da, ciddi yaralanmaların önüne geçmede etkili olabilir. Unutmayın, bilinçli bir yaşam tarzı, sağlığınızı korumanın ilk adımıdır.
Komplikasyonlar ve Uzun Vadeli Etkiler
Pilon Tipi Tibia Distal Domen Sendromu, tedavi edilmediği veya yanlış tedavi edildiği durumlarda ciddi komplikasyonlara yol açabilir. En sık karşılaşılan komplikasyonlar arasında post-travmatik artrit (eklem kireçlenmesi), kronik ağrı ve hareket kısıtlılığı yer alır. Ayrıca, cerrahi sonrası enfeksiyon riski de göz ardı edilmemelidir. Bu tür durumlarda, hastaların yaşam kalitesi ciddi şekilde etkilenebilir ve ek tedaviler gerekebilir.
Uzun vadede, bazı hastalar eklem füzyonu veya protez cerrahisi gibi daha ileri müdahalelere ihtiyaç duyabilir. Bu nedenle, tedavi sürecinde uzman bir ortopedi cerrahı ile yakın iş birliği içinde olmak, komplikasyon riskini azaltmanın en etkili yoludur. Doç. Dr. Ramadan ÖZMANEVRA, bu tür durumlarda hastaların düzenli takip altında olmasının kritik olduğunu vurgulamaktadır.
Sonuç
Pilon Tipi Tibia Distal Domen Sendromu: Sık Olmayan Diz ve Ayak Arası Eklem Bozuklukları, nadir görülse de ciddi sonuçlara yol açabilen bir ortopedik rahatsızlıktır. Bu makalede, sendromun nedenlerinden belirtilerine, tanı yöntemlerinden tedavi seçeneklerine kadar tüm detayları ele aldık. Erken teşhis ve doğru tedavi ile hastaların yaşam kalitesini korumak mümkündür, ancak bu süreçte sabır ve uzman bir ekip ile iş birliği büyük önem taşır. Doç. Dr. Ramadan ÖZMANEVRA’nın rehberliğinde, bu tür rahatsızlıklarla başa çıkmak için bilinçli adımlar atabilirsiniz.